aLIGNERS Workflow 

DDent aligners - required materials

The first step in ordering aligners from DDent is to supply the neccesary materials to send to our orthodontists. These include:
1. Rx - see link below for a copy
2. Intraoral scan for full arches, or traditional impressions
3. Pano Xray
4. Photographs of front view smile, retracted buccal, maxilary and mandibular.
All materials can be uploaded using the Labstar portal.

Rx Form
Placeholder Picture

Rx Form

The Rx form should be filled out with as much information as possible. In addition to the check box items, details about buttons, movement details, and implant exclusions should be included. For example you can request that upper and lower trays are made in matching quantities. This allows for ending movment to occur at the same aligner set. 
Note that the form is fillable, however you need to "Print as PDF" to save the input data.

Placeholder Picture

Intraoral scan or impressions.

An intraoral scan or full set of impressions must be provided.
It is critical to follow the recomended scanning protocal of aligners for your scanner. This assures accurate representations of the teeth positions - especially from side to side.

Ideally a retraction system is used for these scans. Two of the best are:
1. The Isolite® retraction system offers control of the patient’s soft tissue and control of saliva, which can interfere with the imaging process. Half of the arch can be scanned, and then the Isolite Mouthpiece can be repositioned and the rest of the dentition captured.
2. The OptraGate® from Ivoclar Vivadent® is indispensable for efficient imaging. I love this product to be in place when taking the photographic records as well. It retracts the lips and keeps the buccal mucosa away back to the first molar. It does this comfortably for the patient, so leaving it in place during the visit is acceptable and speeds up the entire process.

Placeholder Picture

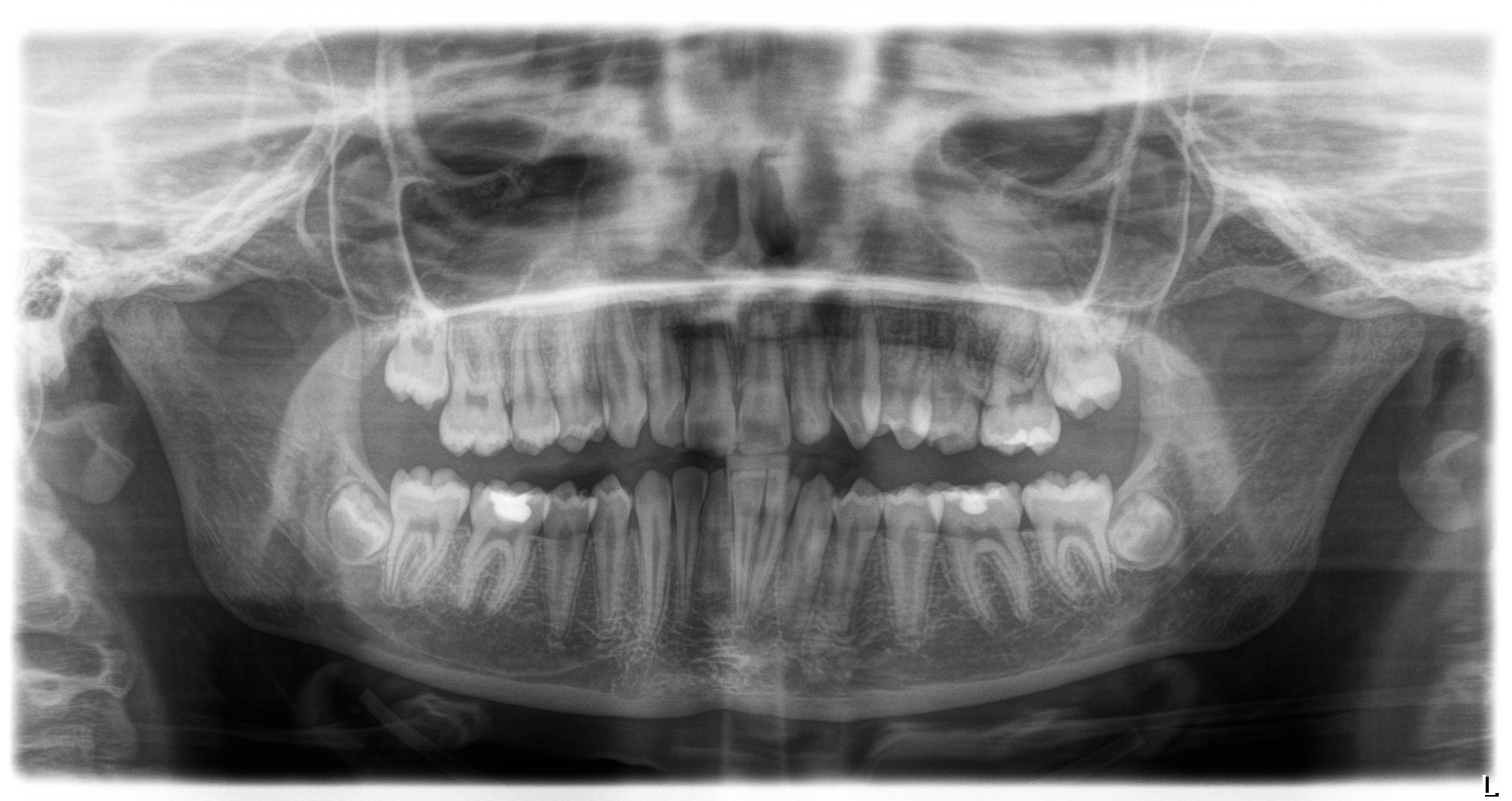
Pano Xray.

A high resolution Pano Xray is required. This means an image around 1.0 to 1.5 MB.

Placeholder Picture

Patient Photographs

At a minimum, 4 photos are required.
1. Front view smile not retracted
2. Front view retracted
3. Maxilary retracted (with mirror is best.
4. Mandibular retracted.
Good lighting is key. A cell phone can be used with flash.

Placeholder Picture
Placeholder Picture
Placeholder Picture
Placeholder Picture

Orthodontist Proposal

After all materials are gathered, an orthodontist creates the movement proposal for the doctors approval. This is done through an on-line link that can be viewed in each stage of the process in 3D. Changes can be requested as needed or the proposal is approved for production.

Placeholder Picture
Placeholder Picture

Production

After approval, production begins. The doctor can request that the first set of aligners are sent as soon as possible. This gets the patient in aligners as quickly as possible.

Placeholder Picture

Refinement

Refinements can be requested within 1 year of the original order at no cost. Note that a complete set of materials must be generated with the request.

Placeholder Picture